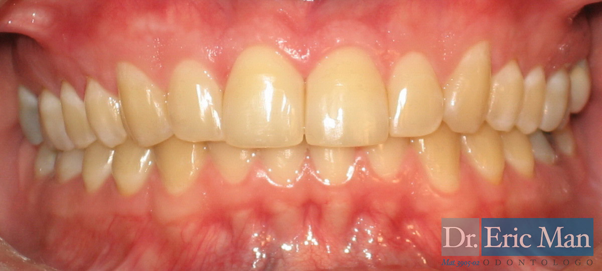
Cambio de restauraciones oscuras por otras estéticas.
Antes
Después
Antes
Después
Antes
Después
Antes
Después
Antes
Después
Anterior
Siguiente
Extracción de una pieza dental fracturada y reposición con implante de titanio y corona de porcelana
Antes
Después
Antes
Después
Antes
Después
Antes
Después
Antes
Después
Anterior
Siguiente
Resolución de un caso con prótesis combinadas, fija y removible, con sistema de retención ball-attach (estético, sin ganchos) en sector ántero superior (los otros ganchos no se ven durante la sonrisa ya que quedan detrás de los labios)
Antes
Después
Antes
Después
Antes
Después
Antes
Después
Antes
Después
Antes
Después
Después
Anterior
Siguiente
Rehabilitación Integral fija en Porcelana, con Ortodoncia en sector antero inferior
Antes
Después
Antes
Después
Antes
Después
Antes
Después
Antes
Después
Antes
Después
Antes
Después
Antes
Después
Después
Anterior
Siguiente
Rehabilitación Integral fija en Porcelana, devolviendo la sonrisa del paciente.
Antes
Después
Antes
Después
Antes
Después
Antes
Después
Antes
Después
Antes
Después
Después
Después
Antes
Después
Después
Después
Anterior
Siguiente
Resolución completa superior e inferior con prótesis combinadas, fija y removible, con sistema de retención ball-attach (estético, sin ganchos) en sector ántero superior.
Antes
Después
Antes
Después
Antes
Después
Antes
Después
Antes
Después
Antes
Después
Después
Después
Antes
Después
Después
Anterior
Siguiente
En esta presentación podemos ver un caso de Ortodoncia terminado (antes y después)
Antes
Después
Antes
Después
Antes
Después
Antes
Después
Antes
Después
Antes
Después
Anterior
Siguiente